Mi caballo tiene mal las articulaciones, ¿qué quiere decir eso?, ¿qué tiene?
En el Blog de Pavo tenemos como invitado a José Carlos Díaz Carrera, veterinario especialista en medicina deportiva equina, que nos hablará de la artrosis del caballo, y nos aclarará que no todo lo que sucede en las articulaciones es lo mismo.
José Carlos, ¿cómo diferenciamos artrosis, artritis, osteoartrosis, osteocondrosis...? Son términos muy parecidos y crean confusiones
La artritis es un proceso inflamatorio, sobre todo, de la membrana sinovial. Es un proceso que, tratado a tiempo, tiene cura.
En la osteoartrosis o artrosis hay un daño estructural, sobre todo, del cartílago. Es una lesión degenerativa crónica que permanece en el tiempo, pero con tratamiento podemos paliar los síntomas (dolor) y ralentizar su evolución.
La osteocondrosis (OC) es un fallo en el proceso de osificación del hueso que está a nivel de la articulación y sucede en el periodo de crecimiento del potro, y este incluye el periodo en el que el feto está todavía en el útero, por eso es tan importante la alimentación de la madre para que un potro no tenga OC. Cuando en el proceso de osificación se suelta un fragmento (chip), se habla de osteocondrosis disecante (OCD). Si en lugar de liberarse un fragmento, lo que ocurre es que aparece un “hueco”, hablamos de quistes óseos subcondrales.
Es un resumen muy básico, pero que tiene las principales diferencias.
Síntomas de la artrosis en el caballo
El principal síntoma que un propietario puede observar en su caballo es el dolor. Este dolor siempre se traduce en una cojera.
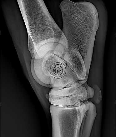
Si nosotros hacemos una evaluación temprana de un animal y detectamos signos clínicos que nos puedan estar indicando que empieza algún tipo de problema, tenemos métodos de diagnóstico por imagen gracias a los cuales podemos adelantarnos a que aparezcan síntomas más graves y empezar a tratar una artrosis en un grado bajo. Porque tratar una artrosis cuando realmente empieza va a ser mucho más efectivo que cuando el dolor es más evidente y cuando realmente el daño articular es muy importante.
Por eso, es muy importante que todos los caballos tengan revisiones periódicas por su veterinario y sobre todo lo que es importantísimo es que cualquier caballo que haga una mínima actividad física, exactamente igual que cualquier deportista de humana hace revisiones médicas, el veterinario periódicamente debe de revisar a nuestro caballo de deporte búscame radiográfico rutinario sin esperar a que duela para poder adelantarte entonces
¿Significa esto que ese examen rutinario ya incluiría radiografías? No necesariamente. Si el caballo tras su examen clínico no muestra ningún tipo de dolor, y en definitiva, el resultado es bueno, no necesitamos hacer radiografías.
Pero sí que es obligatorio el examen radiológico en el momento que tenemos la más mínima sospecha de un problema articular.

Cualquier articulación puede sufrir artrosis, pero obviamente hay articulaciones en las que es más común.
Por ejemplo, si nos centramos en los miembros anteriores del caballo, pues las articulaciones distales son las más afectadas. Como, por ejemplo, puede ser la articulación interfalangiana distal, que es la articulación de la corona del casco. También es frecuente en la articulación del menudillo.
En los posteriores puede afectarse la articulación del corvejón, que es lo que se conoce en el mundo del caballo como esparaván.
Por lo tanto, todo propietario tiene que vigilar estos puntos clave, porque el tiempo es fundamental. Nosotros podemos diagnosticarla antes y podemos tratarla antes la integridad articular y el bienestar de nuestros caballos siempre van a ser mucho más mucho más largos al ser
A veces el dolor es en ambos miembros anteriores o posteriores, y el propietario aprecia que el caballo comienza lento el trabajo, pero después de calentar ya trabaja bien. No es vago, lo que ocurre es que le duele en ambas extremidades cuando comienza a moverse, y tras calentar, el dolor se mitiga (si el proceso es leve). Otras veces, el dolor sigue, pero el caballo compensa la alteración de un pie con otro pie y no vemos la cojera.
Otras veces, y es un punto que vigilar para detectar esa artrosis de modo precoz, es que el caballo baja de rendimiento sin causa aparente.
¿Cuáles son las causas más frecuentes de artrosis en el caballo?
La artrosis puede comenzar por múltiples causas. Entre ellas, por una herida que alcance la articulación. Entonces esa artrosis evoluciona desde lo que se llama una artritis séptica.
Puede tener también origen en un golpe, en una fractura que sea periarticular.
Pero, sobre todo, la principal causa es una sobrecarga mecánica, que es la que acaba desencadenando ese primer estadio inflamatorio articular, que con el avance del tiempo genera la artrosis. Lo que tenemos que hacer es diagnosticar cuanto antes, tratar la parte inflamatoria, que sí tiene tratamiento, y tratar de mantener esa articulación lo más sana posible durante el máximo tiempo posible, ya que la lesión de artrosis no se recupera, no hay vuelta atrás, pero sí que podemos ralentizar su evolución y mitigar los síntomas, como pueden ser el dolor.
El sobrepeso o la deficiencia alimentaria son otras de las causas de artrosis, es decir, una dieta inadecuada va a acelerar el proceso. Por eso, una dieta bien balanceada es muy importante tanto en la prevención como en el tratamiento.
¿Se puede ralentizar la artrosis en los caballos mayores?
Cuando ya son mayores, lo que podemos hacer es intentar ralentizar la progresión de esa artrosis, minimizar los problemas de salud que esa artrosis nos puede acarrear.
Hay muchísimos tratamientos médicos dentro del mercado, pero sin ser medicación, es muy importante la alimentación. Si ya es importante a todas las edades, en los caballos mayores aún más. Es importantísimo que su alimentación esté acorde con su edad y esté acorde con su estado físico.
¿Cuál es el tratamiento de la artrosis?
Siempre tiene que ir encaminado a la mejora de signos clínicos, es decir, a evitar el dolor y al “mantenimiento”, dentro de lo que cabe, de la integridad articular durante el máximo tiempo posible, es decir, a ralentizar el proceso.
Tenemos muchos tipos de tratamientos que debemos combinar según cada caso individual.
Hay tratamientos intraarticulares. Todo el mundo conoce las infiltraciones. Hay otros tratamientos sistémicos como distintos tipos de antiinflamatorios y analgésicos, distintos medicamentos que pueden mejorar la perfusión del hueso subcondral, medicamentos que modulan los procesos fisiológicos que ocurren dentro de la articulación, distintos tipos de suplementos vitamínicos-minerales para que ese hueso realmente tenga todo lo que necesite para poder luchar contra este problema inflamatorio crónico.
Entonces, ¿los suplementos para las articulaciones y la alimentación correcta realmente funcionan para la artrosis?
Te lo puedo garantizar. Y en animales deportivos es fundamental. Un caballo en la naturaleza vive con agua y pasto, pero un caballo en la naturaleza no está saltando 1,40m o corriendo 120 km en raid. Un caballo deportivo necesita una alimentación específica y un equilibrio vitamínico- mineral muy preciso.
Los caballos con artrosis, ¿deben de hacer ejercicio?
Los caballos con artrosis deberían hacer ejercicio de manera controlada dependiendo de su situación y tener una rehabilitación dirigida. En el caso de no poder hacerse esto, lo mejor es tenerlo en un campo.
Lo que no podemos contemplar bajo ningún concepto es que un caballo con artrosis esté encerrado en un box.
La actividad física moderada va a ralentizar esos procesos degenerativos porque se favorecen procesos que ayudan. Con ejercicio moderado, la musculatura sigue estando activa y se desarrolla un tono muscular que nos va a ayudar a que esos dolores articulares sean menores.
Cuánto ayuda la cirugía a la artrosis
En el caso de una osteoartrosis ya instaurada, cuya causa no puede ser eliminada por cirugía, poco tiene que aportar. Sí funcionaría en procesos como los que hemos comentado antes de OC, cuando hay un fragmento, o con un quiste subcondral. En estos casos la resolución quirúrgica de estos procesos es muy importante porque si no se solucionan, los propios fragmentos o quistes serían causantes de artrosis con el tiempo.
Invitado en el blog de Piensos Pavo
José Carlos Díaz Carrera
Veterinario equino
Licenciado en facultad de veterinaria de Cáceres
Internado en la unidad de medicina interna y cirugía de la universidad veterinaria de Cáceres
Máster especialización en clínica equina
Post grado en cirugía equina en la UAB
Máster de medicina deportiva equina de la UCO
Doctorando en medicina deportiva equina en el CEMEDE UCO y miembro del grupo de investigación
Veterinario colaborador del servicio de diagnóstico por imagen de la universidad de Cáceres
Gerente de la empresa Biovet consulting Sl
Director de los proyectos Biovet Medicina deportiva equina y Biovet academy
Veterinario equino ambulante dedicado a la medicina deportiva equina





